Salter-Harris type III fracture
Salter-Harris type III fractures are an uncommon, intraarticular fracture physeal fractures that occur in children.
The fracture line is often obliquely oriented through the epiphysis to the physis where it will take a horizontal orientation extending to the edge of the physis.
The prognosis of type III fractures can be poor if the reduction is not correct, resulting in incongruence of the articular surface, as is the case with other intraarticular fractures .
Salter-Harris fractures are injuries where a fracture of the metaphysis or epiphysis extends through the physis. Not all fractures that extend to the growth plate are Salter-Harris fractures.
Epidemiology
6.5-8% of physeal fractures will be a Salter-Harris type III seen more often at the distal tibia and distal phalanx .
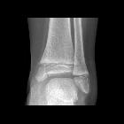
Radiographic features
Salter-Harris type III fractures describe a fracture through the epiphysis extending and continuing to the edge of the physis.
Plain radiograph
- fracture through the epiphysis that is vertical/oblique in orientation
- fracture through the physis that is horizontally oriented to the periphery
- no fracture of the metaphysis
- angulation, displacement and rotation may occur

