Schenkelhernie mit Appendix vermiformis
Gangränöse
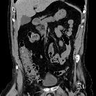
Appendicitis in Schenkelhernie (De Garengeot Hernie): Zahlreiche Gaseinschlüsse im Bruchsack. Oben links axial, unten links sagittal, rechts 2 Schichten koronar.
Schenkelhernie
mit in diese hineinziehende Appendizitis: De-Garengeot-Hernie. Computertomographie axial und coronar. Das entsprechende Pendant in einer Leistenhernie heißt Amyand-Hernie.
De Garengeot
hernia • Incarcerated right femoral hernia - containing appendix - Ganzer Fall bei Radiopaedia
De Garengeot
hernia • De Garengeot hernia - Ganzer Fall bei Radiopaedia
De Garengeot
hernia • De Garengeot's hernia - Ganzer Fall bei Radiopaedia
De Garengeot
hernia • De Garengeot hernia - Ganzer Fall bei Radiopaedia
De Garengeot
hernia • De Garengeot appendicitis - Ganzer Fall bei Radiopaedia
De Garengeot
hernia • De Garengeot hernia - Ganzer Fall bei Radiopaedia
De Garengeot
hernia • De Garengeot hernia - Ganzer Fall bei Radiopaedia
De Garengeot
hernia • De Garengeot hernia with acute appendicitis - Ganzer Fall bei Radiopaedia
De Garengeot
hernia • De Garengeot hernia with acute appendicitis - Ganzer Fall bei Radiopaedia
A rare
presentation of appendicitis inside the femoral canal: case report and literature review. CT scan coronal view shows appendicitis (white arrow) inside the femoral canal (yellow arrow)
A rare
presentation of appendicitis inside the femoral canal: case report and literature review. Laparoscopic view of the appendix traveling through the femoral canal
Clinicopathological
characteristics of De Garengeot hernia: six case reports and literature review. Axial images of contrast enhancement CT showing a tubular structure (arrowhead) surrounded by or along with high/iso/low-density masses on the ventral and medial sides of the femoral vein in Cases 1–6 (a–f in this order). d, f: A low-density ovoid lesion with high-density capsule suggestive of an abscess around the appendix. e: A honeycomb-like low-density mass surrounding a tubular structure suggestive of the greater omentum
Clinicopathological
characteristics of De Garengeot hernia: six case reports and literature review. Coronal image of contrast enhancement CT showing a blind-ended tubular structure (arrowhead) on the medial side of the femoral vein, which is continuous with the cecum (C). A: femoral artery, V: femoral vein
nicht verwechseln mit: Appendix in LeistenhernieDe Garengeot hernias (alternative plural: herniae) are femoral hernias that contain the appendix.
It is not to be confused with Amyand hernia, which is an appendix-containing inguinal hernia.
Epidemiology
It is a rare phenomenon, with only 1% of all femoral hernias containing the appendix (and usually found incidentally at surgery), and only 0.08-0.13% containing an incarcerated acute appendicitis (sometimes detected on pre-operative CT) .
History and etymology
It is named after Rene Jacques Croissant de Garengeot (1688-1759), Parisian surgeon, first described this pathology in 1731 .
Siehe auch:
und weiter:

Assoziationen und Differentialdiagnosen zu Schenkelhernie mit Appendix vermiformis:Lageanomalien
der Appendix vermiformis
