Schneiderballen
A bunionette, also known as a tailor's bunion or metatarsus quintus varus, is a bony prominence at the lateral 5 metatarsal head. It is the lateral counterpart of the more common bunion of the first metatarsophalangeal joint, and when they occur together (often with spreading of the other metatarsals), patients may be said to have a splayfoot.
Epidemiology
They are thought to be caused by narrow/restrictive footwear. Some individuals may be predisposed to developing a bunionette due to an abnormal transverse metatarsal ligament, or an enlarged 5 metatarsal head.
Clinical presentation
Bunionettes are visible on clinical examination as an erythematous swelling overlying the 5 metatarsal head. They may be tender on palpation.
Pathology
Classification
Bunionettes are usually classified with the Coughlin classification, which uses radiographic criteria .
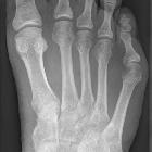
Radiographic features
Typically seen as a varus deformity at the 5 metatarsophalangeal joint. Increased angulation can also be present between the 4 and 5 metatarsals, e.g. a widening in the gap between the 4 and 5 metatarsal heads.
Treatment and prognosis
Conservative management is the first line of treatment, with use of wide-fitting footwear and orthotics. Surgical management involves osteotomy and resection.
History and etymology
In the premodern era, tailors used to suffer with this condition due to prolonged sitting in a cross-legged position, leading to increased pressure on the lateral aspect of the 5 metatarsal head against the floor.
Siehe auch:
und weiter:

Assoziationen und Differentialdiagnosen zu Schneiderballen: