Sesambeine des Fußes
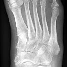
Os
sesamoideum hallucis multipartum. Es lassen sich 4 getrennte Knochenkerne des medialen Sesambeins am Metatarsale-I-Köpfchen identifizieren.
Multipartite
hallux sesamoid • Fractured lateral and bipartite medial hallux sesamoid bones - Ganzer Fall bei Radiopaedia
Multipartite
hallux sesamoid • Multipartite hallux sesamoid - Ganzer Fall bei Radiopaedia
Multipartite
hallux sesamoid • Bipartite hallux sesamoid - Ganzer Fall bei Radiopaedia
Multipartite
hallux sesamoid • Bipartite medial hallux sesamoid - Ganzer Fall bei Radiopaedia
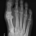
Geteiltes
Sesambein Os-metatarsale-I-Köpfchen medial, ein häufiger, nicht pathologischer Befund.
Ankylose
zwischen Sesambein und Metatarsale 1 Köpfchen. Die Häufigkeit einer solchen Verschmelzung wird mit ca. 4 % angegeben.
Multipartite
hallux sesamoid • Bipartite hallux sesamoid - Ganzer Fall bei Radiopaedia
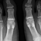
Hallux
sesamoid • Hallucal and lesser metatarsal sesamoids - Ganzer Fall bei Radiopaedia
Hallux
sesamoid • Osteonecrosis of the medial hallux sesamoid - Ganzer Fall bei Radiopaedia
Assoziationen und Differentialdiagnosen zu Sesambeine des Fußes:
