Spalt am hinteren Atlasbogen
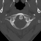
Bogenspalt am
hinteren Atlasbogen in der Computertomographie axial. Zufallsbefund ohne Klinik.
Spalt am
hinteren Atlasbogen bei einem über 70-jährigen. Korrespondierend findet sich im vorderen Bogen eine mediane Sklerosierung. Aber kein echter Split-Atlas.
Spalt am hinteren Atlasbogen
Siehe auch:

Assoziationen und Differentialdiagnosen zu Spalt am hinteren Atlasbogen: