Spondylodese Atlas - Axis
Behandlung
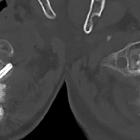
einer instabilen Densfraktur: Spondylodese HWK 1 / 2 mit dorsalem Fixateur interne. Die Pedikelschrauben sind gekreuzt eingebracht. Der hintere Atlasbogen wird von den Klammern umfasst. Zusätzlich Spongiosamaterial angelagert.
Behandlung
einer instabilen Densfraktur: Spondylodese HWK 1 / 2 mit dorsalem Fixateur interne. Die Pedikelschrauben sind gekreuzt eingebracht. Der hintere Atlasbogen wird von den Klammern umfasst. Zusätzlich Spongiosamaterial angelagert.
nicht verwechseln mit: kongenitale Fusion von Atlas und Axis
Assoziationen und Differentialdiagnosen zu Spondylodese Atlas - Axis:kongenitale
Fusion von Atlas und Axis

