Spondylometaphysäre Dysplasie
X-ray of 7
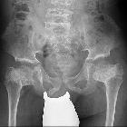
yrs old girl with spondylometaphyseal dysplasia type Kozlowski showing femoral metaphyseal deformity and moderate platyspondylia
Spondylometaphysärer
Dysplasie Typ Koslowski: Röntgenbild des Beckens mit Darstellung der deformierten Femurmetaphysen. Platyspondylie der mit erfassten unteren Wirbel.
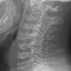
Platyspondylie
bei Spondylometaphysärer Dysplasie Typ Koslowski: Röntgenbild der HWS.
Spondylometaphysäre
Dysplasie Typ Koslowski: Röntgenbilder beider Sprunggelenke, der rechten Schulter sowie der HWS und LWS seitlich. Man sieht die deformierten Metaphysen sowie ausgeprägte Platyspondylie der Wirbel.
Spondylometaphysäre Dysplasie
Siehe auch:
- Platyspondylie
- Spondyloepiphysäre Dysplasie
- Spondyloepimetaphysäre Dysplasie
- Spondylometaphysäre Dysplasie Kozlowski
- Chondrodysplasie
und weiter:

Assoziationen und Differentialdiagnosen zu Spondylometaphysäre Dysplasie: