Suprascapular neuropathy
Suprascapular
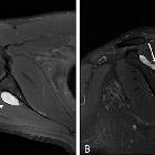
nerve entrapment caused by a large hematoma of the scapula: a case report. Preoperative magnetic resonance image of the lesion A The lesion (line arrow) exhibits high signal intensity on T2-weighted axial imaging. B Sagittal section revealing the heterogenous signal intensity of the cyst (line arrow) with the scapular spine of the right shoulder and infraspinatus muscle (star) denervation
Suprascapular neuropathy or suprascapular nerve entrapment occurs if the suprascapular nerve is compressed as it passes through the suprascapular notch or spinoglenoid notch.
Clinical presentation
Non-specific posterior shoulder pain and weakness.
Pathology
Etiology
- masses (e.g. ganglion cyst, paralabral cyst, tumor) in the suprascapular or spinoglenoid notch
- traction injury (from sports with overhead action)
- direct trauma
- scapular or humeral fractures (e.g. bony fragments, callous formation)
- anterior shoulder dislocation
- complete and retracted supraspinatus tendon tear
Radiographic features
MRI
- direct features of entrapment
- swelling, increased size and signal of the nerve
- visualization of the causative factor
- indirect features of entrapment via features of muscle atrophy or acute denervation
- supraspinatus and infraspinatus muscles: compression at the suprascapular notch
- infraspinatus muscle only: compression at the spinoglenoid notch
Siehe auch:

Assoziationen und Differentialdiagnosen zu Nervus-suprascapularis-Kompressionssyndrom: