Thrombose Vena cava superior
Die Bildung
eines Thrombus um die Spitze eines Portkatheters ist eine nicht seltene Komplikation. Bisweilen manifestiert sich eine solche Situation nur dadurch, dass der Katheter nicht mehr rückläufig ist. Manchmal ist aber auch antegrade Spülung nicht mehr oder nur sehr erschwert möglich. Im Röntgenbild nach Anspritzen des Katheters mit Kontrastmittel zeigt oft ein typisches Bild, bei der das Kontrastmittel nicht gerade aus der Katheterspitze austritt, sondern in dem umgebenden Thrombus ein Stück rückwärts entlang des Katheters bis zu dem Thrombusbeginn läuft. Die Katheterspitze kann dann wie auf diesem Bild scheinbar aufgetrieben aussehen. Manchmal sieht man dann wie sich wenige Zentimeter vor der Spitze das Kontrastmittel quer zum Katheterverlauf in der Vene verteilt.
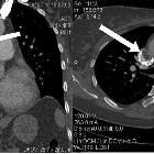
Giant mass
but small symptoms; huge thrombosis in the right atrium originating from the superior vena cava and protruding to the right ventricle: a case report. Computed tomographic angiography demonstrating a filling defect in the superior vena cava. The arrow is pointing to these filing defects
Assoziationen und Differentialdiagnosen zu Thrombose Vena cava superior:
