arteriovenöse Fistel der Milz
Splenic
arteriovenous fistula - Splenic vein aneurysm. Splenic vein aneurysm.
Splenic
arteriovenous fistula - Splenic vein aneurysm. Splenic vein aneurysm.
Splenic
arteriovenous fistula - Splenic vein aneurysm. An hypoechoic unilocular construction.
Splenic
arteriovenous fistula - Splenic vein aneurysm. Colour Doppler imaging showed internal blood flow.
Splenic
arteriovenous fistula - Splenic vein aneurysm. Splenic vein aneurysm.
Endovascular
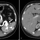
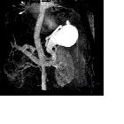
management of incidentally discovered splenic arteriovenous fistula resulting from ruptured splenic aneurysm: Case report and review of the literature: Fig. 1. CT of the abdomen in arterial phase demonstrates fusiform arterial aneurysm (arrow) at the splenic hilum with intrasplenic tangle of vessels (arrowhead) (A). Figure (B) demonstrates dilated splenic vein (arrow).
arteriovenöse Fistel der Milz
Siehe auch:
- Morbus Osler-Weber-Rendu
- Ehlers-Danlos syndrome
- splenorenaler Shunt
- Gefäßmalformation Milz
- Aneurysma der Vena lienalis
und weiter:

Assoziationen und Differentialdiagnosen zu arteriovenöse Fistel der Milz: