Choledochozele
5 types of
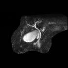
Choledochal cysts. Type I: dilatation of extrahepatic biliary duct; Type II: Cyst from common bile duct (CBD); Type III: choledochocele or dilatation of distal part of CBD, type IV: dilatation of both extrahepatic and intrahepatic duct; Type V: Caroli disease, Dilatation of intrahepatic duct only. CHD: common hepatic duct, LHD: left hepatic duct and RHD: right hepatic duct.
Choledochocele
• Choledochocoele - Ganzer Fall bei Radiopaedia
Choledochocele
• Choledochocoele - Ganzer Fall bei Radiopaedia
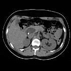
Choledochoceles refer to a specific type of choledochal cyst (type III under the Todani classification system). In this type, there is dilatation of the intramural portion of the distal common bile duct within the duodenal wall. Its precise etiology is not clear . Patients are usually adolescents and may present with a recurrent crisis of right upper quadrant pain, hyperamylasemia, or jaundice.
Malignant transformation of a choledochocele occurs very rarely.
When a choledochocele is small and symptomatic, it may be treated with an endoscopic sphincterotomy. Larger cysts are often removed by a surgical cystoduodenostomy.
See also
Siehe auch:
- Duodenaldivertikel
- Choledochuszyste
- zystische Pankreasläsionen
- cholangiozelluläres Karzinom
- pseudocyst
- Duplikationszyste des Duodenums
- peribiliäre Zysten
und weiter:

Assoziationen und Differentialdiagnosen zu Choledochozele: