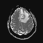
Concentric target sign (cerebral toxoplasmosis)
Concentric
target sign (cerebral toxoplasmosis) • Neurotoxoplasmosis - concentric target sign - Ganzer Fall bei Radiopaedia
The concentric target sign is a typical sign for cerebral toxoplasmosis. It is seen on T2 weighted MR imaging as a deep parenchymal lesion showing a series of concentric rings with hyperintense and hypointense/isointense signal alternatingly. Strong perifocal edema is usually visible on T2/FLAIR images.
Pathology
Histopathologically there are zones of fresh hemorrhage and/or compact coagulative necrosis (hypo/isointense) alternating with zones of edema, fibrin rich necrosis or foamy histiocytic infiltration (hyperintense).
Differential diagnosis
- balo concentric sclerosis (usually showing only mild perifocal edema) in an immunocompetent patient

