Ernährungssonden
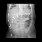
Preschooler
after feeding tube placement. AXR AP shows a feeding tube that appears to loop back upon itself within the stomach before it exits through the pylorus and courses through the duodenum with its tip in the proximal jejunum.The diagnosis was normal position of the tip of the feeding tube in the proximal jejunum.
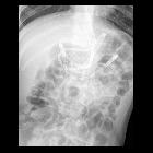
Infant after
feeding tube placement. AXR AP shows the tip of the nasogastric tube is in the stomach. The tip of the feeding tube is seen to cross the midline through the pylorus, descend through the duodenum, and then course through the proximal jejunum.The diagnosis was correct position of the feeding tube.
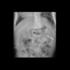
Infant after
feeding tube placementAXR shows a feeding tube coursing along the greater curvature of the stomach and then passing through the pylorus and duodenum with the tip in the proximal jejunum. A nasogastric tube is also present with its tip within the body of the stomach.The diagnosis was appropriate position of the feeding tube tip.
Ernährungssonden
Siehe auch:

Assoziationen und Differentialdiagnosen zu Ernährungssonden: