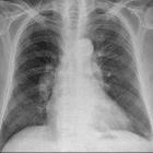
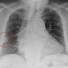
Fleischner sign
The Fleischner sign refers to a prominent central pulmonary artery that can be commonly caused either by pulmonary hypertension or by distension of the vessel by a large pulmonary embolus. It can be seen on chest radiographs, CT pulmonary angiography (CTPA), and MR pulmonary angiography (MRPA).
It is seen most commonly in the setting of massive pulmonary embolism (defined angiographically as involving 50% or more of the major pulmonary artery branches). It has a low sensitivity but high specificity.
It is one of several described signs of pulmonary embolus on chest radiographs.
History and etymology
It is named after Felix George Fleischner (1893-1969), an Austrian-American radiologist, who first described it in 1961 . Pre-World War II, Fleischner was a Professor of Radiology in Vienna, before moving to Boston where he eventually became a Professor at Harvard College.
See also
Siehe auch:

Assoziationen und Differentialdiagnosen zu Fleischner sign: