Granulomatous prostatitis
Granulomatous prostatitis is a nodular form of chronic prostatitis. It is usually diagnosed on biopsy.
Pathology
Causes
- idiopathic
- infection
- iatrogenic
- Bacillus Calmette–Guérin (BCG) vaccine
- post-radiotherapy
- systemic disease:
- sarcoidosis
- autoimmune
Subtypes
Several classification systems exist. A frequently used classification specifies the following subtypes:
- non-specific granulomatous prostatitis (NSGP): considered one of the commonest subtypes
- infectious
- indeterminate
An alternate classification system has also been described:
- non-specific granulomatous prostatitis
- tubercular granulomatous prostatitis
- postsurgical granulomatous prostatitis
- allergic granulomatous prostatitis
- xanthogranulomatous prostatitis
Histology
Histological appearances are related to the underlying subtype .
Radiographic features
General features
Often there is no definite imaging finding to allow the diagnosis of granulomatous prostatitis to be made or, indeed, to differentiate it from prostatic carcinoma .
Widening of the prostatic urethra, however, may be a useful feature in differentiation from cancer .
Ultrasound
Ultrasound findings are divided into a hypoechoic nodule (~70%) or a diffusely hypoechoic peripheral zone (~30%)
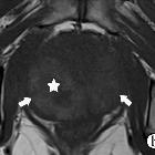
MRI
Three morphological MRI patterns have been described which are diffuse, nodular (tumor-like), and cystic with mural nodule .
Signal characteristics include
- T2: affected regions hypointense
- C+ (Gd): no enhancement following Gd-DTPA
History and etymology
It was first described by F H Tanner and J R McDonald in 1943 .

