katamenial
Thoracic
endometriosis syndrome: a rare cause of pneumothorax in young women. Posteroanterior chest radiography. Right pneumothorax with contralateral displacement of the mediastinum was found. Extrapleural opacities attached to the right diaphragm were also observed.
Thoracic
endometriosis syndrome: a rare cause of pneumothorax in young women. Axial chest CT. Right pneumothorax and extrapleural nodules attached to the diaphragm were found. A right thoracic tube could be also observed.
Thoracic
endometriosis syndrome: a rare cause of pneumothorax in young women. Coronal chest CT. Right pneumothorax and extrapleural nodules attached to the diaphragm were found. A right thoracic tube could be also observed.
Thoracic
endometriosis syndrome: a rare cause of pneumothorax in young women. Coronal T1-weighted fat-suppressed sequence. The lesions attached to the right diaphragm were markedly hyperintense.
Thoracic
endometriosis syndrome: a rare cause of pneumothorax in young women. Axial T1-weighted fat-suppressed sequence. The lesions attached to the right diaphragm were markedly hyperintense.
Catamenial
rectal bleeding due to invasive endometriosis: a case report. Sagittal T2-weighted magnetic resonance imaging section of pelvis with recto-sigmoid colon endometrial implant (red arrow)
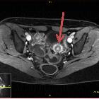
Catamenial
rectal bleeding due to invasive endometriosis: a case report. Transverse T2-weighted magnetic resonance imaging section of pelvis with recto-sigmoid colon endometriosis (red arrow)
Als katamenial wird ein Ereignis im wiederholten Zusammenhang mit der Menstruation bezeichnet. So ist ein katamenialer Pneumothorax ein Pneumothorax, der innerhalb von 72 Stunden vor oder nach Einsetzen der Regelblutung wiederholt auftritt. Wenngleich nicht immer nachweisbar, kommt als Ursache hierfür am ehesten eine thorakale Endometriose in Frage.
Katameniale Ereignisse können sein:
- katamenialer Pneumothorax
- katamenialer Hämatothorax
- katameniale rektale Blutungen
- katameniale Epilepsie
- katameniale Migräne
- katameniale Angina pectoris
Siehe auch:

Assoziationen und Differentialdiagnosen zu katamenial: