Lithium induzierte Nephropathie
Lithium induced renal disease is characterized by a progressive decline in renal function, evidenced by increasing serum creatinine and decreased creatinine clearance. The lithium salt causes direct injury to the renal tubules. The duration of lithium therapy increases the risk of progression to end-stage renal disease (ESRD), however, discontinuation of medication may not necessarily halt the progression to ESRD.
Clinical presentation
Patients present with signs and symptoms of slowly progressive chronic renal failure or diabetes insipidus.
Pathology
Renal biopsy demonstrates tubular atrophy, glomerulosclerosis, chronic interstitial nephritis, and distal tubular dilatation with microcyst formation .
Radiographic features
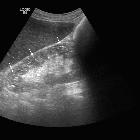
Ultrasound
Unique imaging appearance of numerous uniform microcysts and punctate echogenic foci which may be cortical or medullary in origin . The kidneys are normal in size.
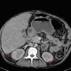
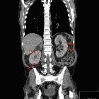
CT
- may show microcalcifications within the microcysts in the renal medulla and cortex
MRI
- T2: abundance of microcysts as small hyperintense 1-2 mm round lesions distributed randomly in the renal medulla and cortex
Siehe auch:

Assoziationen und Differentialdiagnosen zu Lithium induzierte Nephropathie: