Petrous apex cephalocoele
Petrous apex
cephalocele • Petrous apex cephalocoele - Ganzer Fall bei Radiopaedia
Petrous apex
cephalocele • Petrous apex cephalocele - Ganzer Fall bei Radiopaedia
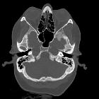
Petrous apex cephalocoele (PAC) is a rare form of cephalocoele centered typically in the posterolateral part of Meckel cave with variable extension into the petrous apex. They can be unilateral or bilateral (commoner).
Epidemiology
There may be a slight female predilection.
Clinical presentation
The lesions are incidentally detected and are asymptomatic most of the times. Though they may present with trigeminal neuralgia, headache, CSF otorrhea, and sensorineural hearing loss.
Associations
Recognized associations include
- empty sella
- Usher syndrome - Graefe-Usher syndrome
Radiographic features
CT
- homogenously low density area is noted in the petrous apex with sharply defined margins
MRI
MRI can demonstrate the continuation with Meckel cave and hence helps in providing a confident diagnosis thereby preventing unnecessary surgical intervention. The signal intensities follow that of CSF.
- T1: hypointense
- T2: hyperintense
- FLAIR: typical CSF suppression
- DWI: no restriction
Differential diagnosis
As a general differential consider

