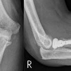
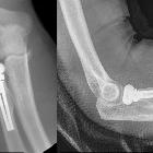
Radiusköpfchenprothese
Radiusköpfchenprothese
Ellenbogenprothese Radiopaedia • CC-by-nc-sa 3.0 • de
Elbow arthroplasties are an increasingly common joint replacement, most often used for treatment of late stage rheumatoid arthritis, but which may also be used as a treatment for late stage osteoarthritis or complex fractures of the proximal radius, proximal ulna, or distal humerus.
- total elbow replacement
- meant to restore the hinge (ginglymoid) function of the ulnotrochlear component of the elbow joint
- fully-constrained
- semiconstrained ("sloppy hinge"): more common, permits mild varus and valgus motion
- meant to restore the hinge (ginglymoid) function of the ulnotrochlear component of the elbow joint
- radial head replacement
- for complex radial head fractures
- radiocapitellar prosthetic arthroplasty is also possible
Device materials are similar to those in other joint arthroplasties (e.g. hip and knee)
Radiographic features
Imaging evaluation usually requires AP and lateral views, and focuses on looking for loosening or periprosthetic fracture:
- periprosthetic lucency
- periprosthetic osteolysis (micromotion or particle disease)
- aggressive osteolysis / periostitis is concerning for infection
- "loose-fit" components in some radial head replacements have an expected 2 mm lucent rim around the prosthesis
- loosening may be difficult to detect in radial head replacements using conventional radiography
- "press-fit" components do not have a lucent rim
The radial head may be resected when placing the arthroplasty.
Treatment and prognosis
Overall 10 year prosthesis survival is ~90% .
Complications
Complications depend somewhat on the type of arthroplasty, but include
- periprosthetic osteolysis (<10%)
- periprosthetic fracture (1-5%)
- wear on the protective polyethylene bushings
- infection (~3%)
- heterotopic ossification
- secondary osteoarthritis may complicate radial head replacements
Loosening is more common in younger/more active patients and those who have the prosthesis placed for fracture rather than for rheumatoid arthritis.
Siehe auch:

Assoziationen und Differentialdiagnosen zu Radiusköpfchenprothese: