retropharyngealer Verlauf der Arteria carotis interna
Retropharyngeale
"Kissing Carotids" in der Computertomografie axial, koronar, sagittal und Volumen Rendering. Die elongierten Karotiden treffen sich medial retropharyngeal.
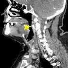
Kissing
carotids: a lovely term for an anatomic variant with great clinical significance. Sagittal reconstructed image showing the retropharyngeal course of the right internal carotid artery (arrowhead).
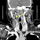
Kissing
carotids: a lovely term for an anatomic variant with great clinical significance. Coronal reconstructed image showing the two internal carotid arteries in close proximity (arrowheads).
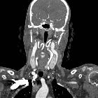
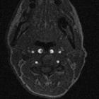
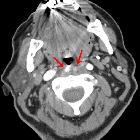
Kissing
carotids: a lovely term for an anatomic variant with great clinical significance. This axial MDCT image shows the level where the two ICA (arrows) are situated in the retropharyngeal space and in close proximity (4mm). The right ICA is more hyperdense than the left due to artefacts.
Ectopic
internal carotid artery presenting as an oropharyngeal mass. a. CT scan of the neck, following contrast administration. Axial section of the level of the oropharynx, demonstrates the horizontal extension of the right ICA towards the midline and behind the oropharynx. b. Multiplanar reconstruction at the coronal plane demonstrates an angiographic appearance of the vessels of the neck, showing the ectopic portion of the right ICA.
Ectopic
internal carotid artery presenting as an oropharyngeal mass. Magnetic Resolution Angiography after gadolinium administration shows the helicoids-ectopic course of the right ICA, immediately after the carotid bulb. Notice also, the significant stenosis of the controlateral left ICA.
Kissing
carotids • Kissing carotid arteries - Ganzer Fall bei Radiopaedia
Kissing
carotids • Kissing carotids - Ganzer Fall bei Radiopaedia
Kissing
carotids • Kissing carotids - Ganzer Fall bei Radiopaedia
Kissing
carotids • Kissing carotids - Ganzer Fall bei Radiopaedia
Kissing
carotids • Kissing carotids simulating prevertebral hematoma - Ganzer Fall bei Radiopaedia
Kissing
carotids • Retropharyngeal carotid arteries (kissing carotids) - Ganzer Fall bei Radiopaedia
Kissing
carotids • Kissing carotid arteries - Ganzer Fall bei Radiopaedia
Kissing
carotids • Retropharyngeal internal carotid arteries (kissing carotids) - Ganzer Fall bei Radiopaedia
An additional
challenge for head and neck radiologists: anatomic variants posing a surgical risk – a pictorial review. Retropharyngeal carotid artery. MRI 3D TOF, thick maximum intensity projection (MIP) reconstruction on coronal plane (a) and native axial partition (c); fat suppressed axial SE T1 with contrast administration (b). The right ICA (large arrows) bends medially reaching the midline behind the posterior oropharyngeal wall. Coiling of the left ICA (arrowhead). eca external carotid artery
Bovine arch
• Bovine arch and kissing carotid arteries - Ganzer Fall bei Radiopaedia
The term kissing carotids refers to tortuous and elongated vessels which touch in the midline. They can be found in:
- retropharynx
- intrasphenoid
- within the pituitary fossa
- within sphenoid sinuses
- within sphenoid bones
The significance of kissing carotids is two-fold:
Siehe auch:

Assoziationen und Differentialdiagnosen zu retropharyngealer Verlauf der Arteria carotis interna: