Stag's antler sign (lungs)
Stag's
antler sign (lungs) • Cephalisation of pulmonary veins in congestive cardiac failure - Ganzer Fall bei Radiopaedia
Stag's
antler sign (lungs) • Cardiogenic pulmonary edema grade 1 - Ganzer Fall bei Radiopaedia
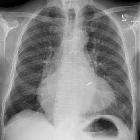
nicht verwechseln mit: Antler sign (lung)The stag's antler sign, also known as the hands-up or inverted moustache sign, refers to upper lobe pulmonary venous diversion in pulmonary venous hypertension or pulmonary edema as seen on an erect frontal chest radiograph.
The prominence of upper lobe pulmonary veins resembles a stag's antlers. It is the earliest sign of pulmonary venous hypertension (grade 1 pulmonary edema).
Rarely a unilateral form has been described .
This is not to be confused with the antler sign described for lung torsion.
Epidemiology
Association
The commonest causes of stag antler sign on chest x-ray are :
- left heart failure
- fluid overload
See also

