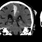
subdurales Hämatom an der Falx cerebri
Subdural
hemorrhage • Parafalcine subdural hemorrhage - Ganzer Fall bei Radiopaedia
Subdural
hemorrhage • Parafalcine subdural hemorrhage - Ganzer Fall bei Radiopaedia
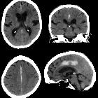
Subdural
hemorrhage • Falx subdural hematoma and sulcal subarachnoid hemorrhage - Ganzer Fall bei Radiopaedia
Parafalzines
Subduralhämatom mit zusätzlicher Subarachnoidalblutung beidseits nach Sturz.
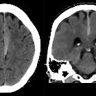
Intracranial
subdural hematoma after epidural anesthesia: a case report and review of the literature. Computerized tomography of the head showing bilateral parafalcine subdural hematomas (arrow)
subdurales Hämatom an der Falx cerebri
Siehe auch:

Assoziationen und Differentialdiagnosen zu subdurales Hämatom an der Falx cerebri: