Twiddler-Syndrom
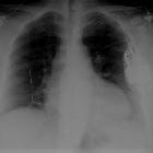
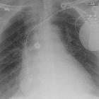
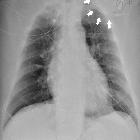
Twiddler syndrome occurs when a patient manipulates (rotates) a subcutaneous chest device to the point of detaching and retracting the distal portion of the device.
It is most commonly seen with implanted cardiac pacemakers or implantable cardiac defibrillators (ICDs). With continued rotation, the leads of these devices eventually wrap around the subcutaneous portion of the device.
A variation of this theme can occur with chest ports, deep brain stimulators, and other devices.
Radiographic features
Plain radiograph
It can be suggested when the leads on a previously well-positioned device retract and begin to wrap around the subcutaneous portion of the device.
Treatment and prognosis
If it occurs with a pacemaker, then the detached leads render the device non-functional and would need to be revised by the cardiologist.
Siehe auch:

Assoziationen und Differentialdiagnosen zu Twiddler-Syndrom: