Wilms-Tumor Metastasen
Wilms tumoru
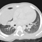
with bony-mandibular, rib and calvarial metastases. Lytic rib lesion with a large soft tissue.
Wilms tumoru
with bony-mandibular, rib and calvarial metastases. Another lung parenchymal lesion seen adjacent to the pleural-based soft tissue.
Wilms tumoru
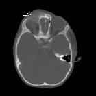
with bony-mandibular, rib and calvarial metastases. Lytic lesion in left mandibular ramus with periosteal reaction.
Wilms tumoru
with bony-mandibular, rib and calvarial metastases. Lytic lesion in right frontal bone with soft tissue.
Toddler with
abdominal pain and distension, hematuria and lethargy for 2 months. Axial (above right), coronal (below middle) and sagittal (below right) CT with contrast of the abdomen shows a large heterogenous non-calcified mass that fills the entire left side of the abdomen. The inferior vena cava (to the right of the aorta) was distended with tumor thrombus. Multiple liver (above left) and lung (below left) lesions are also seen.The diagnosis was Wilms tumor with liver metastases and lung metastases and invasion of the inferior vena cava.
Wilms-Tumor Metastasen
Siehe auch:
und weiter:

Assoziationen und Differentialdiagnosen zu Wilms-Tumor Metastasen: