Direkt zum Inhalt
pacs
Toggle navigation
Merkliste
Stöbern
Hilfe
Impressum / Nutzungsbedingungen
Datenschutzerklärung
Zehenluxation
Suche
Luxation
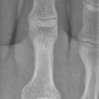
Interphalangealgelenk Großzehe; oben luxiert, unten nach Reposition.
Wikipedia
•
CC BY-SA 4.0
Joint
dislocation of the interphalangeal joint of the hallux (big toe).
Wikipedia
•
CC BY-SA 3.0
Luxation
Endglied D2 Fuß
Wikipedia
•
CC BY-SA 4.0
Hallo!
Lizenz: CC BY-SA 4.0
Zehenluxation
Siehe auch:
Fingerluxation
Luxation
Zehenfrakturen
Assoziationen und Differentialdiagnosen zu
Zehenluxation
:
Fingerluxation
Wikipedia
•
CC BY-SA 3.0