Adenokarzinom des ösophagogastralen Übergangs
Adenokarzinom
des ösophagogastralen Übergangs Typ 1 (Hauptmasse oberhalb der Cardia) in der Breischluckuntersuchung.
Perirenal
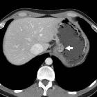
neoplastic recurrence from adenocarcinoma of the gastric cardia. After neoadjuvant chemotherapy, CT with gastric distension (oral water) and hypotonisation showed residual adenocarcinoma of the gastric cardia as focal enhancing mural thickening (short arrows) without extramural invasion. No nodal or distant metastases.
Perirenal
neoplastic recurrence from adenocarcinoma of the gastric cardia. After neoadjuvant chemotherapy, CT with gastric distension (oral water) and hypotonisation showed residual adenocarcinoma of the gastric cardia as focal enhancing mural thickening (short arrows) without extramural invasion. No nodal or distant metastases.
Perirenal
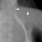
neoplastic recurrence from adenocarcinoma of the gastric cardia. A few days after surgery, upper gastrointestinal series with water-soluble contrast showed complete gastrectomy with patent Roux-en-Y anastomosis (arrowhead). Note drainage tube in place (short arrow).
Pseudoachalasie
bei AEG-Tumor: Hochgradig stenosierender Tumor des ösophagogastralen Übergangs mit erheblicher Aufweitung des Ösophagus darüber. Es mussten zwei Stents platziert werden, um die Stenose zu überbrücken.
Adenokarzinom des ösophagogastralen Übergangs
Siehe auch:
und weiter:

Assoziationen und Differentialdiagnosen zu Adenokarzinom des ösophagogastralen Übergangs: