Dawson fingers
The clothes
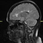
maketh the sign. Sagittal fluid attenuated inversion recovery MRI sequence depicting several adjacent high signal pericallosal lesions resembling adjacent jewels in a Venus flytrap necklace, a style popular in the 1920s. The high signal lesions correlate with demyelinating plaques which typically arise in a perivenous location, the arrangement of lesions, at right angles to the corpus callosum, represents the distribution of callososeptal medullary veins, the appearance has also been described as “Dawson fingers”
Multiple
sclerosis • Multiple sclerosis - Dawson's fingers - Ganzer Fall bei Radiopaedia
Multiple
sclerosis • Multiple sclerosis - Ganzer Fall bei Radiopaedia
Dawson
fingers • Multiple sclerosis - Ganzer Fall bei Radiopaedia
Multiple
sclerosis • Multiple sclerosis - Ganzer Fall bei Radiopaedia
Dawson
fingers • Multiple sclerosis - Ganzer Fall bei Radiopaedia
Multiple
sclerosis • Multiple sclerosis - Ganzer Fall bei Radiopaedia
Dawson
fingers • Multiple sclerosis with active lesions - Ganzer Fall bei Radiopaedia
Dawson
fingers • Multiple sclerosis - Dawson fingers - Ganzer Fall bei Radiopaedia
Dawson
fingers • Wallerian degeneration in multiple sclerosis - Ganzer Fall bei Radiopaedia
Dawson
fingers • Multiple sclerosis - Ganzer Fall bei Radiopaedia
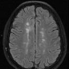
Dawson fingers are a radiographic feature of demyelination characterized by periventricular demyelinating plaques distributed along the axis of medullary veins, perpendicular to the body of the lateral ventricles and/or callosal junction. This is thought to reflect perivenular inflammation. They are a relatively specific sign for multiple sclerosis.
Radiographic features
MRI
- T1: low signal in chronic lesions; otherwise usually isointense to white matter
- T2/FLAIR: linear or ovoid high signal
- T1C+ (Gd): enhancement can be seen with active lesions
History and etymology
Dawson fingers are named after Scottish pathologist James Walker Dawson (1870-1927 ) who described the phenomenon on histopathological specimens in an article in 1916 , although the term "Dawson fingers" was brought forward by Charles Lumsden.
Siehe auch:
- Encephalomyelitis disseminata
- Subakute sklerosierende Panenzephalitis
- McDonald Diagnostic Criteria for MS
- Dawson Kriterien
und weiter:

Assoziationen und Differentialdiagnosen zu Dawsonfinger: