Magendivertikel
Gastric diverticula are sac-like projections that usually originate from the gastric fundus, most commonly on the posterior surface. They are the least common of the gastrointestinal diverticula.
Epidemiology
Gastric diverticula are rare and commonly detected incidentally. The incidence varies from 0.01% to 0.11% at endoscopy studies .
Clinical presentation
Usually asymptomatic. In some cases they may present as a vague sensation of fullness immediately after meals or as gastric discomfort .
Complications like ulceration, perforation, torsion, hemorrhage and malignancy are rare and an indication for surgical treatment .
Pathology
They may be congenital (true diverticula that have all layers of the gastric wall) or acquired (false diverticula) and arise virtually anywhere along the stomach .
Radiographic features
Fluoroscopy
A well defined saccular collection of barium sulfate contrast outpouching from the gastric wall.
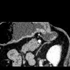
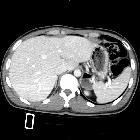
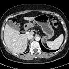
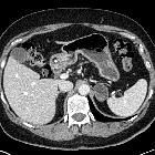
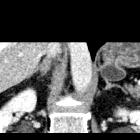
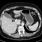
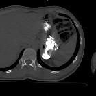
CT/MRI
A well defined saccular collection of fluid or gas that demonstrates communication with the gastric cavity (fills with iodinated oral contrast on CT).
Treatment and prognosis
Surgical resection is recommended when the diverticulum is large, symptomatic or complicated .
Differential diagnosis
In cross-sectional studies gastric diverticula can mimic a left adrenal mass. In fluoroscopic studies, they may mimic a gastric ulcer.
Siehe auch:

Assoziationen und Differentialdiagnosen zu Magendivertikel: