Magenemphysem
Successful
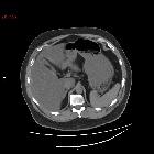
medical management of emphysematous gastritis with concomitant portal venous air: a case report. CT of the abdomen showing air in the stomach wall and portal venous system. Black arrow: Portal venous air. White arrows: Air in the stomach wall.
Successful
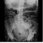
medical management of emphysematous gastritis with concomitant portal venous air: a case report. Scout film showing air along the greater curvature of the stomach.
Emphysematous
gastritis • Emphysematous gastritis due to gastric necrosis/infarction - Ganzer Fall bei Radiopaedia
Esophagogastroduodenal
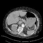
pneumatosis with subsequent pneumoporta and intramural duodenal hematoma after endoscopic hemostasis: a case report. Abdomen and pelvis computed tomography showed a 14.4 cm × 7 cm mass lesion (a, arrowhead) at the lateral side of duodenal second portion and caused lumen narrowing (a, arrow). The distended stomach is suggested to have gastric outlet obstruction. Pneumatosis was found at esophagus (b, arrow), stomach (c, arrowhead) and the bulb (d, arrow). The inflated air also entered the portal system (c, arrow)
Gastric
emphysema • Gastric emphysema - Ganzer Fall bei Radiopaedia
Gastric
emphysema • Gastric emphysema - Ganzer Fall bei Radiopaedia
Gastric
emphysema • Ischemic gastric emphysema - Ganzer Fall bei Radiopaedia
Gastric
emphysema • Gastric emphysema - Ganzer Fall bei Radiopaedia
Gastric
emphysema • Gastric ischemia from over-eating - Ganzer Fall bei Radiopaedia
Gastric
emphysema • Gastric emphysema due to strangulation - Ganzer Fall bei Radiopaedia
Gastric emphysema, referring to the presence of gas in the wall of the stomach, is a relatively rare imaging finding . The stomach is the least common location for intramural gas in the gastrointestinal tract.
Pathology
Etiology
There is a wide range of causes, ranging from life-threatening emphysematous gastritis to many self-limiting causes. Gastric emphysema is more common than emphysematous gastritis, but the two conditions may appear similar. Clinical presentation helps distinguish the two.
Gastric emphysema can be broadly divided into two categories based on etiology :
- emphysematous gastritis (i.e. infectious)
- ischemia
- caustic ingestion
- increased intraluminal pressure (e.g. during endoscopy, over-eating , severe vomiting or in the setting of bowel obstruction)
- perforated gastric ulcer
- traumatic causes (e.g. endoscopic biopsy, endoscopic argon plasma coagulation, tube placement, blunt trauma)
- idiopathic
- small or large bowel ischemia
- gangrenous cholecystitis
- dissection of pulmonary gas (such as from rupture of a pulmonary bulla)
Siehe auch:
und weiter:

Assoziationen und Differentialdiagnosen zu Magenemphysem: