Monteggia-Fraktur
Monteggia
fracture-dislocation • Monteggia fracture dislocation - Ganzer Fall bei Radiopaedia
School ager
who fell off their bike. AP radiograph of the forearm shows a fracture of the proximal ulna, disruption of radioulnar joint, and radial head dislocation as the radial shaft line does not align / intersect with the capitellum.The diagnosis was Monteggia fracture dislocation.
Monteggia-Fraktur
bei einem Kind. Neben dem unschwer erkennbaren Bruch der Ulna besteht eine Luxation des Radius nach lateral volar. Das noch nicht verknöcherte Radiusköpfchen sollte dem Knochenkern des Capitulum humeri genau gegenüber stehen.
Preschooler
with forearm pain after a fall. AP and lateral radiographs of the elbow show a fracture of the ulnar diaphysis and a dislocation of the radial head.The diagnosis was a Monteggia fracture dislocation.
Monteggia
fracture-dislocation • Monteggia fracture-dislocation - Ganzer Fall bei Radiopaedia
Monteggia
fracture-dislocation • Monteggia fracture - Ganzer Fall bei Radiopaedia
Monteggia
fracture-dislocation • Monteggia fracture-dislocation - Ganzer Fall bei Radiopaedia
Monteggia
fracture-dislocation • Combined Monteggia and Galeazzi fractures - Ganzer Fall bei Radiopaedia
Monteggia
fracture-dislocation • Monteggia fracture dislocation - Ganzer Fall bei Radiopaedia
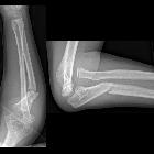
School ager
with forearm pain after fall. AP (left) and lateral (right) radiographs of the forearm show a fracture of proximal ulna, disruption of radioulnar joint, and dislocation of the radial head.The diagnosis was Monteggia fracture dislocation.
Monteggia-Fraktur
Siehe auch:
- Colles-Fraktur
- Galeazzi-Fraktur
- Frakturen mit Eigennamen
- Chauffeur-Fraktur
- Ossifikationszentren Ellenbogen
- Barton Fraktur
- distale Radiusfraktur
- Smith-Fraktur
- Radiusköpfchenluxation
- Essex-Lopresti fracture
- Frakturen der oberen Extremitäten
- Bado classification
- Schlagstockfraktur
- Luxationsfrakturen von Radius und Ulna
und weiter:

Assoziationen und Differentialdiagnosen zu Monteggia-Fraktur: