Osteolipoma
Osteolipomas, also known as ossified lipomas, are rare intracranial masses, typically located in the suprasellar cistern composed of mature adipocytes surrounding by calcified ossification . They are a variant of intracranial lipomas which elsewhere, with the exception of tubulonodular pericallosal lipomas, rarely have calcification/ossification .
Epidemiology
Osteolipomas are rare and only featured in small series and case reports and thus true incidence is unknown. Similarly, no demographic data is available.
Clinical presentation
Most often these lesions are identified incidentally when the brain is imaged for other reasons .
Radiographic features
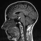
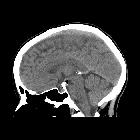
Osteolipomas are usually in the suprasellar and interpeduncular cistern, close to the pituitary infundibulum, inferior surface of the hypothalamus, mammillary bodies and tuber cinereum .
CT
The mass appears as a rounded lesion with central fat attenuation and peripheral calcification .
MRI
Central fat signal that attenuates on fat-saturated sequences is surrounded by calcification which results in low signal on most sequences and blooming on T2*/SWI sequences .
No enhancing component is helpful in distinguishing osteolipomas from tumors such as teratomas or craniopharyngiomas.
Treatment and prognosis
No treatment is usually required as these lesions are asymptomatic and do not grow .
Differential diagnosis
Other intracranial lesions with fatty components should be considered, including :

