round atelectasis
Imaging of
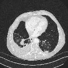
asbestos-related lung and pleural diseases as an endemic exposure in Egypt. A 56-year-old male smoker patient, working in plasters for 13 years, was diagnosed as having round atelectasis for 3 years with a latent period 10 years. Axial CT scan lung window showing left lower lobe subpleural soft tissue density with comet tail sign and underlying pleural thickening denoting round atelectasis
Round
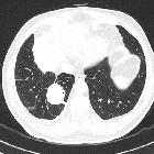
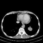
atelectasis in sarcoidosis. CT image at the level of the right lower lobe bronchus shows an oval mass abutting the pleura, pulmonary vessels curving toward the opacity with parenchymal nodules.
Round
atelectasis in sarcoidosis. Chest CT revealed a round pleural-based mass at the level of the right lower lobe with the characteristic comet tail sign of curving of vessels into the lesion with peribronchovascular and subpleural nodules.
Round
atelectasis • Pleural thickening: illustrations - Ganzer Fall bei Radiopaedia
Round
atelectasis • Round atelectasis - Ganzer Fall bei Radiopaedia
Round
atelectasis • Round atelectasis - Ganzer Fall bei Radiopaedia
Round
atelectasis • Round atelectasis - Ganzer Fall bei Radiopaedia
Round
atelectasis • Round atelectasis - Ganzer Fall bei Radiopaedia
Round
atelectasis • Round atelectasis - Ganzer Fall bei Radiopaedia
Round
atelectasis • Round atelectasis - Ganzer Fall bei Radiopaedia
Round
atelectasis • Round atelectasis - Ganzer Fall bei Radiopaedia
Round
atelectasis • Round atelectasis - Ganzer Fall bei Radiopaedia
Round
atelectasis • Round atelectasis - Ganzer Fall bei Radiopaedia
Round
atelectasis • Round atelectasis - Ganzer Fall bei Radiopaedia
nicht verwechseln mit: RundpneumonieRound atelectasis, also known as rounded atelectasis, folded lung or Blesovsky syndrome, is an unusual type of lung atelectasis where there is infolding of a redundant pleura. The way the lung collapses can at times give a false mass-like appearance.
Pathology
Two theories have been put forward. The second theory is more favored while the multi-factorial etiology suggests both mechanisms probably operate in different patients:
- Hanke and Kretzschmar
- underlying pleural effusion causes local atelectasis in the adjacent lung
- a cleft or infolding of the visceral pleura will then form if the rate of pleural fluid formation exceeds alveolar air absorption
- this then causes the lung to tilt on the cleft
- the lung then curls on itself in a concentric fashion
- fibrous adhesions suspending the atelectatic segment (and usually tilt the lung cranially) develop
- as the effusion resorbs, the aerated lung fills in the space between the area of round atelectasis
- organization of the fibrinous exudate and fibrous contraction lead to additional lung parenchymal distortion
- Schneider et al. (expanded on by Dernevik and colleagues)
- a local pleuritis caused by irritants such as asbestos
- in the event of a benign asbestos-related pleural effusion, the pleura contracts and thickens with shrinkage of the underlying lung, and atelectasis develops in a round configuration
Etiology
- exposure to mineral dust: asbestosis, pneumoconiosis
- exudative pleuritis: tuberculosis, hemothorax
- less commonly seen in histoplasmosis, legionella, end-stage renal disease
- sarcoidosis
Associations
It can be associated with:
- asbestos lung exposure : most commonly
- therapeutic pneumothorax in the treatment of tuberculosis
- congestive heart failure
- pulmonary infarction
- parapneumonic effusion
Location
There may be a predilection towards the lower lobes .
Radiographic features
CT
- round or oval in shape
- almost always seen adjacent to a pleural surface
- there is associated adjacent pleural abnormality, e.g. pleural thickening or pleural effusion
- comet tail sign : produced by the pulling of bronchovascular bundles giving the shape of a comet tail
- crow feet sign
- as it represents collapsed lung, it commonly demonstrates a typical parenchymal enhancement
- posterior lower lobes are most commonly involved and, sometimes, bilateral or symmetrical
Rounded atelectasis can occasionally increase in size on serial scans .
Nuclear medicine
FDG-PET
- not metabolically active
- may play a role in differentiating from malignancy when there are few or atypical features on chest radiographs and CT
History and etymology
It was first described by Loeschke in 1928 .
See also
Siehe auch:
- Atelektase
- Lungeninfarkt
- entzündlicher Pseudotumor der Lunge
- Rundpneumonie
- pulmonary pseudotumour
- Kometenschweif-Zeichen (CT Lunge)
- Herzinsuffizienz
- asbestos lung exposure
und weiter:

Assoziationen und Differentialdiagnosen zu Rundatelektase: