Streptococcus pneumoniae
Pneumokokken
Streptococcus pneumoniae
bakterielle Pneumonien Radiopaedia • CC-by-nc-sa 3.0 • de
Bacterial (pyogenic) pneumonia is common and is a major cause of morbidity and mortality globally.
Clinical presentation
Bacterial pneumonia has symptoms similar to other pneumonia. When a productive cough is present, purulent or blood-stained sputum may indicate bacterial pneumonia .
Pathology
Bacterial pneumonia may be primary, secondary to a viral infection, or a co-infection with a virus . They are a common cause of community-acquired pneumonia (CAP) and nosocomial pneumonia.
Etiology
Typical bacteria that cause pneumonia include :
- Streptococcus pneumoniae: most common cause of CAP
- Streptococcus anginosus group (formerly Streptococcus milleri)
- Staphylococcus aureus
- group A Streptococcus
- Klebsiella pneumonia (Klebsiella pneumonia)
- Haemophilus influenzae (pulmonary Haemophilus influenzae infection)
- Moraxella catarrhalis
- anaerobes
- Gram-negative organisms
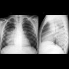
Radiographic features
Plain radiograph / CT
Chest x-ray and CT are unable to differentiate bacterial pneumonia from non-bacterial pneumonia . There is also a large overlap of imaging features with non-pneumonic processes .
Bacterial pneumonia characteristically produces focal segmental (i.e. bronchopneumonia) or lobar pulmonary opacities (i.e. lobar pneumonia) . Expansion characterized by bulging fissures has typically been attributed to lobar pneumonia, in particular Klebsiella pneumonia, but there are many non-bacterial causes .
Treatment and prognosis
Treatment is with antibiotic therapy, with both oral and intravenous options available depending on the severity and local guidelines.
Complications
Complications common for bacterial pneumonia include :
Siehe auch:

Assoziationen und Differentialdiagnosen zu Pneumokokken: