Duret Blutungen
Duret hemorrhage is a small hemorrhage (or multiple hemorrhages) seen in the medulla or pons of patients who are rapidly developing brain herniation, especially central herniation.
Pathology
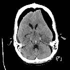
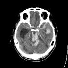
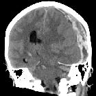
Raised supratentorial pressure causes the brainstem and mesial temporal lobes to be forced downwards through the tentorial hiatus. As a result of this shift, it is believed that perforating branches from the basilar artery and/or draining veins are damaged with resultant parenchymal hemorrhage. Most commonly it is seen in patients with severe herniation 12 to 24 hours prior to death .
Radiographic features
The classical appearance of a Duret hemorrhage is a single small, round hemorrhage located in the midline of the medulla or pons near the pontomesencephalic junction. Often, however, these hemorrhages can be multiple or even extend into the cerebellar peduncles.
Treatment and prognosis
Usually considered fatal in the majority of cases although occasional cases have been reported to have favorable outcomes .
Differential diagnosis
On imaging consider
- primary hypertensive brainstem hemorrhage
- usually larger
- mid pons
- absence of herniation initially (although hydrocephalus may well develop)
- brainstem contusion/diffuse axonal injury
- dorsal midbrain (tectum and periaqueductal grey matter)
- usually multifocal and smaller
History and etymology
It was first described by Henri Duret (1849-1921), a French surgeon, in 1874 .
Siehe auch:
und weiter:

Assoziationen und Differentialdiagnosen zu Duret Blutungen: