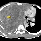
Ewingsarkom der Brustwand
Ewingsarkom der Brustwand
Ewing-Sarkom Radiopaedia • CC-by-nc-sa 3.0 • de
Ewing sarcomas are the second most common malignant primary bone tumors of childhood after osteosarcoma, typically arising from medullary cavity with invasion of the Haversian system. They usually present as moth-eaten destructive permeative lucent lesions in the shaft of long bones with large soft tissue component without osteoid matrix and typical onion skin periostitis. It may also involve flat bones and appears sclerotic in up to 30% of cases.
Epidemiology
Ewing sarcoma typically occurs in children and adolescents between 10 and 20 years of age (95% between 4 and 25 years of age), and has a slight male predilection (M:F 1.5:1) .
The Ewing sarcoma family of tumors primarily occurs in white patients. In the United States, the incidence in Asians/Pacific Islanders is about one-half that in Caucasians, while the incidence among African Americans is one-ninth that in Caucasians .
Clinical presentation
Presentation is non-specific with local pain being by far the most common symptom. Occasionally a soft tissue mass may be palpable. Pathological fractures also occur. Systemic symptoms including fever may be present. ESR is also elevated.
Pathology
Ewing sarcoma is a small round blue cell tumor with regular sized primitive appearing cells. It is closely related to the soft tissue tumors pPNET, Askin tumor and neuroepithelioma, which collectively are referred to as Ewing sarcoma family of tumors (ESFT) . They share not only microscopic appearances but also demonstrate a non-random t(11;22)(q24;q12) chromosome rearrangement.
Location
- lower limb: 45%
- femur most common
- pelvis: 20%
- upper limb: 13%
- spine and ribs: 13% (see thoracic Ewings sarcoma)
- sacrococcygeal region most common
- skull/face: 2%
Alternatively :
- long bones: 50-60%
- femur: 25%
- tibia: 11%
- humerus: 10%
- flat bones: 40%
- pelvis: 14%
- scapula
- ribs: 6% (thoracic Ewing sarcoma)
As far as location within long bones, the tumor is almost always metadiaphyseal or diaphyseal :
- mid-diaphysis: 33%
- metadiaphysis: 44%
- metaphysis: 15%
- epiphysis: 1-2%
Radiographic features
Ewing sarcomas tend to be large with poorly marginated tumors, with over 80% demonstrating extension into adjacent soft tissues. It should be noted that pPNET often extend into bone, making the distinction difficult.
Plain radiograph and CT
The appearance of these tumors is very variable, but they usually have clearly aggressive appearance. Common findings include :
- permeative: 76%
- lamellated (onion skin) periosteal reaction: 57%
- sclerosis: 40%
They occasionally demonstrate other appearances, including Codman triangles, spiculated (sunburst) or thick periosteal reaction and even bone expansion or cystic components.
Soft tissue calcification is uncommon, seen in less than 10% of cases .
MRI
- T1: low to intermediate signal
- T1 C+ (Gd): heterogeneous but prominent enhancement
- T2: heterogeneously high signal, may see hair on end low signal striations
Nuclear medicine
Ewing sarcomas demonstrate increased uptake on both Gallium-citrate and all three phases of the Technetiumm methylene diphosphonate bone scans .
Treatment and prognosis
Systemic chemotherapy is the mainstay of treatment with surgery and/or radiotherapy playing a role depending on the location and size of the tumor.
What was once a uniformly fatal tumor now has respectable survival rates, although these vary with location. Spinal tumors for example have up to 86% long term survival compared to 25% of sacrococcygeal tumors . The overall 5 year survival is in the order of 50-75% of patients with local disease only at the time of presentation .
Prognosis is significantly impacted by the presence of distant metastases at the time of diagnosis, which is far more common for the pelvis (25-30%) compared to extremities (<10%) .
Metastases most frequently go to lungs and bones in equal proportions. The spine is the most commonly affected bone .
History and etymology
It is named after James Stephen Ewing (1866-1943), an American pathologist, who first described his eponymous tumor in 1920 .
Differential diagnosis
- other Ewing sarcoma family of tumors
- pPNET: large soft tissue component with extension into bone
- Askin tumor: chest wall
- osteosarcoma:
- more often has amorphous calcified matrix
- classically perimetaphyseal, Ewing sarcoma also occurs in other locations
- more prevalent around the knee and in the proximal humerus, in other locations Ewing sarcoma is the more frequent of the two
- osteomyelitis
- metastatic disease
- hematological malignancy
- eosinophilic granuloma
- neuroblastoma (<age 5)
Siehe auch:
- Tumoren der Rippen
- Läsionen der Rippen
- Ewing-Sarkom
- Chondrosarkom der Rippen
- Tumoren der Thoraxwand
- Osteosarkom der Rippen
- Askintumor
und weiter:

Assoziationen und Differentialdiagnosen zu Ewingsarkom der Brustwand: