Codman triangle periosteal reaction
Periosteal
reaction • Codman triangle (illustration) - Ganzer Fall bei Radiopaedia
Sunburst
appearance (bone) • Periosteal reactions (diagram) - Ganzer Fall bei Radiopaedia
Periosteal
reaction • Periosteal reaction types - Ganzer Fall bei Radiopaedia
Codman
triangle periosteal reaction • Osteosarcoma - femur - Ganzer Fall bei Radiopaedia
Sunburst
appearance (bone) • Osteosarcoma of the fibula with sun burst appearance - Ganzer Fall bei Radiopaedia
Sunburst
appearance (bone) • Ewing sarcoma - fibula - Ganzer Fall bei Radiopaedia
Teenager who
after bumping their leg 1 year ago has had a painful lump in the shin. AP radiograph of the tibia and fibula (left) with a magnified view (right) shows a lesion in the diaphysis of the tibia with permeative cortical destruction and associated periosteal reaction and a Codman’s triangle.The diagnosis was osteosarcoma of the tibia.
Periosteal
reaction • Periosteal osteosarcoma - Ganzer Fall bei Radiopaedia
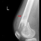
Codman
triangle periosteal reaction • Pathological femur fracture - Ganzer Fall bei Radiopaedia
nicht verwechseln mit: Codman-TumorA Codman triangle is a type of periosteal reaction seen with aggressive bone lesions. The periosteum does not have time to ossify with shells of new bone (e.g. as seen in a single layer and multilayered periosteal reaction) in aggressive lesions, so only the edge of the raised periosteum will ossify.
The Codman triangle may be seen with the following aggressive lesions:
- osteosarcoma
- Ewing sarcoma
- osteomyelitis
- active aneurysmal bone cyst
- giant cell tumor
- metastasis
- chondrosarcoma (especially juxtacortical chondrosarcoma)
- malignant fibrous histiocytoma
History and etymology
It was first described by Ribbert in 1914 . However, it is named after the American surgeon Ernest Amory Codman (1869-1940), who described it in the setting of Ewing sarcoma .
See also
Siehe auch:
- Osteomyelitis
- Periostreaktion
- Aneurysmatische Knochenzyste
- Osteosarkom
- Chondrosarkom
- Ewing-Sarkom
- Pleomorphes Undifferenziertes Sarkom
- Riesenzelltumor
- single layer periosteal reaction
- juxtakortikales Chondrosarkom
- lamellenartige Periostreaktion
und weiter:

Assoziationen und Differentialdiagnosen zu Codman-Dreieck: