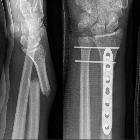
Galeazzi fracture-dislocation
Galeazzi fracture-dislocations consist of fracture of the distal part of the radius with dislocation of distal radioulnar joint and an intact ulna. A Galeazzi-equivalent fracture is a distal radial fracture with a distal ulnar physeal fracture .
Epidemiology
Galeazzi fractures are primarily encountered in children, with a peak incidence at age 9-12 years . In adults, it is estimated to account for ~7% of forearm fractures .
Mechanism
Typically, Galeazzi fracture-dislocations occur due to a fall on an outstretched hand (FOOSH) with the elbow in flexion.
Radiographic features
Galeazzi fractures are classified according to the position of the distal radius:
- type I: dorsal displacement
- type II: volar displacement
Plain radiograph
A forearm series is usually sufficient for diagnosis and management planning. However, good quality orthogonal views are needed to identify and characterize displacement correctly. Features include:
- radial shaft fracture
- commonly at the junction of the middle and distal third
- dorsal angulation
- dislocation of the distal radioulnar joint
- radial shortening may occur, and if greater than 10 mm, suggests complete disruption of the interosseous membrane
Report checklist
In addition to stating the presence of the radial fracture and distal radio-ulnar joint dislocation, a number of features should be sought and commented on:
- radial fractures
- location
- angulation
- the degree of shortening (see above)
- distal radioulnar joint dislocation
- direction
Treatment and prognosis
These fractures are unstable and operative fixation is usually required to reduce and fix the radial fracture, with arm immobilization in pronation . The exact mode of fixation depends on the location of the radial fracture :
- diaphysis: elastic nail
- metaphyseal-diaphyseal junction: plate and screw
- distal radius: Kirschner wires (K-wires)
In Galeazzi-equivalent fractures, ulnar physeal arrest is frequent, seen in 55% of cases.
History and etymology
First described in 1934 by Italian orthopedic surgeon Riccardo Galeazzi (1866-1952) .
Many people consider the Galeazzi and Piedmont fractures as the same injury. However, some state that the latter is an isolated radial fracture without distal radioulnar dissociation. The Piedmont fracture was so named by the Piedmont Orthopedic Society.
See also
Siehe auch:
- Colles-Fraktur
- Frakturen mit Eigennamen
- Chauffeur-Fraktur
- Monteggia-Fraktur
- Barton Fraktur
- distale Radiusfraktur
- Smith-Fraktur
- Essex-Lopresti fracture
- Luxationsfrakturen von Radius und Ulna
und weiter:

Assoziationen und Differentialdiagnosen zu Galeazzi-Fraktur: