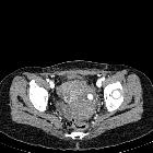
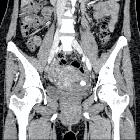
Uterine artery pseudoaneurysm
Uterine artery pseudoaneurysm (UAP) is a rare cause of secondary postpartum hemorrhage.
Clinical presentation
UAP usually presents as delayed (secondary) postpartum hemorrhage, that is per vaginal bleeding which occurs more than 24 hours and up to 6 weeks postpartum. However, some reported cases have been shown to present more than 6 weeks after delivery.
Pathology
Pseudoaneurysms are a blood-filled cavity communicating with the lumen of the parent artery due to deficiency of one or more layers of an arterial wall (i.e. it does not have all the three arterial wall layers). In contrast, true aneurysms contain all the three layers of the arterial wall.
Etiology
Most of the reported cases have followed cesarean section (around 50%) , but can also result from uterine myomectomy or hysterectomy.
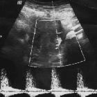
Radiographic features
Ultrasound
Small focus of color signal on Doppler ultrasound with distinctive "to-and-fro" waveform at the neck of the pseudoaneurysm .
Treatment and prognosis
Most of the cases in the English literature have been successfully treated with uterine artery embolization (UAE). Without early recognition and treatment, UAP can be extremely deleterious.

