Kanonenkugelmetastasen Lunge
Cannonball
metastases (lungs) • Renal cell carcinoma with pulmonary metastases - Ganzer Fall bei Radiopaedia
Cannonball
metastases (lungs) • Cannonball metastases - Ganzer Fall bei Radiopaedia
Cannonball
metastases (lungs) • Metastatic gastric adenocarcinoma (barium study) - Ganzer Fall bei Radiopaedia
Cannonball
metastases (lungs) • Cannonballs (illustration) - Ganzer Fall bei Radiopaedia
Cannonball
metastases (lungs) • Cannonball metastases - lungs - Ganzer Fall bei Radiopaedia
Cannonball
metastases (lungs) • Cannonball metastases from renal cell carcinoma - Ganzer Fall bei Radiopaedia
Cannonball
metastases (lungs) • Alveolar soft part sarcoma - Ganzer Fall bei Radiopaedia
Cannonball
metastases (lungs) • Cannon ball metastases - synovial sarcoma - Ganzer Fall bei Radiopaedia
Cannonball
metastases (lungs) • Cannonball metastases from endometrial cancer - Ganzer Fall bei Radiopaedia
Cannonball
metastases (lungs) • Lung metastases from colorectal cancer - Ganzer Fall bei Radiopaedia
Cannonball
metastases (lungs) • Renal cell carcinoma - atypical appearance - Ganzer Fall bei Radiopaedia
Cannonball
metastases (lungs) • Cannonball pulmonary metastases - Ganzer Fall bei Radiopaedia
Cannonball
metastases (lungs) • Pulmonary metastases - cannonball - Ganzer Fall bei Radiopaedia
Cannonball
metastases (lungs) • Prostate metastases to lung - Ganzer Fall bei Radiopaedia
Cannonball
metastases (lungs) • Lung metastases - transitional cell carcinoma - Ganzer Fall bei Radiopaedia
Cannonball
metastases (lungs) • Cannonball metastases - chest x-ray - Ganzer Fall bei Radiopaedia
Cannonball
metastases (lungs) • Cannonball metastases - uterine choriocarcinoma - Ganzer Fall bei Radiopaedia
Cannonball
metastases (lungs) • Canonball lung metastasis - Ganzer Fall bei Radiopaedia
Cannonball
metastases (lungs) • Cannonball metastases - Ganzer Fall bei Radiopaedia
Cannonball
metastases (lungs) • Cannonball metastases from breast cancer - Ganzer Fall bei Radiopaedia
Cannonball
metastases (lungs) • Cannonball metastases (lung) - Ganzer Fall bei Radiopaedia
Metastatic
melanoma • Pulmonary metastases - Ganzer Fall bei Radiopaedia
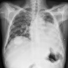
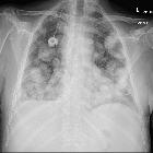
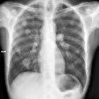
Cannonball metastases refer to multiple large, well-circumscribed, round pulmonary metastases that appear not unsurprisingly like cannonballs. The French terms "envolée de ballons" and "lâcher de ballons", which translate to "balloons release", are also used to describe this same appearance.
Metastases with such an appearance are classically secondary to :
Or less common primary tumors:
Siehe auch:
- Lungenmetastasen bei Chorionkarzinom
- Lungenmetastasen bei Zervixkarzinom
- Lungenmetastasen bei Synovialsarkom
- Lungenmetastasen bei Endometriumkarzinom
- Lungenmetastasen bei Nierenzellkarzinom
- Lungenmetastasen bei Prostatakarzinom
- Lungenmetastasen bei Nebennierenkarzinom
und weiter:

Assoziationen und Differentialdiagnosen zu Kanonenkugelmetastasen Lunge:Lungenmetastasen
bei Endometriumkarzinom
Lungenmetastasen
bei Prostatakarzinom
