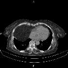
Morgagni-Hernie
Morgagni hernias (alternative plural: herniae) are one of the congenital diaphragmatic hernias (CDHs), and are characterized by herniation through the foramen of Morgagni. When compared to Bochdalek hernias, Morgagni hernias tend to be:
- anterior
- more often right-sided (~90% - If left-sided it's sometimes called Larrey hernia; the term Morgagni-Larrey hernia sums up both sides left and right)
- small
- rare (~2% of CDH)
- at low risk of prolapse
Clinical presentation
Only ~30% of patients are symptomatic. Newborns may present with respiratory distress at birth similar to a Bochdalek hernia. Additionally, recurrent chest infections and gastrointestinal symptoms have been reported in those with previously undiagnosed Morgagni hernia.
Epidemiology
Associations
Pathology
Morgagni hernias most often contain omental fat, but transverse colon (60%) or stomach (12%) may be included within the hernia.
Treatment and prognosis
Some sources recommend laparoscopic surgical repair, even in asymptomatic patients, to avoid the risk of strangulation of the hernia contents .
Differential diagnosis
- cardiophrenic angle lesions: the main differential diagnosis for Morgagni hernia is a cardiophrenic fat pad. It appears radiolucent compared with other lesions not containing fat
- focal diaphragmatic eventration
- diaphragmatic rupture: from trauma, but usually other supportive signs of chest and/or abdominal trauma would be apparent. This is most commonly seen posterior and posterolaterally
See also
Siehe auch:
- parakardiales Fettbürzel
- Bauchwandhernien
- Zwerchfellhernie
- Bochdalek'sche Hernie
- Morgagni-Larrey hernia
- Läsionen im kardiophrenischen Winkel
- Larrey Hernie
- bilateral Morgagni hernias
- Morgagni-Foramen
und weiter:

Assoziationen und Differentialdiagnosen zu Morgagni-Hernie: