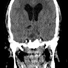
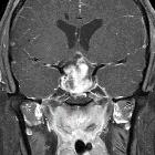
supraselläres Gangliogliom
supraselläres Gangliogliom
Gangliogliom Radiopaedia • CC-by-nc-sa 3.0 • de
Gangliogliomas are uncommon, usually low-grade, CNS tumors. Epilepsy is a common clinical presentation and this tumor has a typical occurrence in the temporal lobes, although they have been described in all parts of the central nervous system.
Their appearance on imaging is very variable: from a partially cystic mass with an enhancing mural nodule (~45% of cases) to a solid mass expanding the overlying gyrus. Contrast enhancement is variable.
Epidemiology
Children and young adults are usually affected, and no gender predominance is recognized. It accounts for around 2% (from 0.4-3.8%) of all primary intracranial tumors, and up to 10% of primary cerebral tumors in children.
Clinical presentation
The most common presentation is with temporal lobe epilepsy, presumably due to the temporal lobes being a favored location.
Pathology
Gangliogliomas are WHO grade I tumors most frequently found in the temporal lobes (70%) but do occur anywhere in the central nervous system.
In a minority of cases (5%) these tumors show aggressive behavior and histopathologic features and are then called anaplastic gangliogliomas (WHO grade III) . At this stage, no criteria for WHO II gangliogliomas have been established .
Microscopic appearance
Gangliogliomas, as their name suggests, are composed of two cell populations:
- primarily astrocytic, although oligodendroglial or pilocytic astrocytoma components are also encountered
The proportion of each component varies widely, and it is the grade of the glial component that determines biological behavior.
Dedifferentiation into high-grade tumors does occasionally occur, and it is usually the glial component (into a GBM). Only rarely is it the neuronal component (into neuroblastoma).
They are closely related to both gangliocytomas (which contain only the mature neural ganglion cellular component) and ganglioneurocytoma (which also have small mature neoplastic neurons).
Immunophenotype
Neuronal origin is demonstrated by positivity to neuronal markers :
- synaptophysin: positive
- neurofilament protein: positive
- MAP2: positive
- chromogranin-A: positive (usually negative in normal neurons)
- CD34: positive in 70-80%
The glial component may also show cytoplasmic positivity for GFAP.
Genetics
- BRAF V600E mutations are encountered in 20-60% of cases
- IDH: negative (if positive then the tumor is most likely a diffuse glioma)
Radiographic features
Imaging findings mirror the various patterns of growth which these tumors may demonstrate and thus their appearance is very variable. A partially cystic mass with an enhancing mural nodule is seen in ~45% of cases. They may also simply present as a solid mass expanding the overlying gyrus. An infiltrating mass is uncommon and may reflect higher grade.
CT
Findings are of a mass which is often non-specific. General features include:
- iso- or hypodense
- frequently calcified ~35%
- bony remodeling or thinning can indicate the slow-growing nature of a tumor
- enhancement is seen in approximately 50% of cases (involving the solid non-calcified component)
MRI
Reported signal characteristics include:
- T1
- solid component iso to hypointense
- T1 C+ (Gd)
- solid component variable contrast enhancement
- T2
- hyperintense solid component
- variable signal in the cystic component depending on the amount of proteinaceous material or the presence of blood products
- peritumoural FLAIR/T2 edema is distinctly uncommon
- T2* (GE/SWI)
- calcified areas (common) will show blooming signal loss
Treatment and prognosis
Local resection is the treatment of choice and determines prognosis. In the brain, where a reasonable resection margin can be achieved, the prognosis is good, with recurrence-free survival reported to be 97% at 7.5-year follow-up .
In contrast, in the spinal cord where complete resection is often not possible without devastating deficits, local recurrence is very common.
If only incomplete resection is achievable, or tumor recurrence occurs then radiotherapy may be of some benefit.
Differential diagnosis
Main differential diagnosis is that of other cortical tumors, with helpful distinguishing features including :
- dysembryoplastic neuroepithelial tumors (DNET)
- contrast enhancement uncommon
- 'bubbly appearance' common
- pleomorphic xanthoastrocytoma (PXA)
- contrast enhancement prominent
- dural tail sign is often seen
- oligodendroglioma
- calcifications common
- desmoplastic infantile astrocytoma and ganglioglioma
- young children
- dural involvement prominent
- large often multiple lesions
If in the spinal cord consider:
Siehe auch:


Assoziationen und Differentialdiagnosen zu