Fehllage Portkatheter
Fehllage Portkatheter
Komplikationen bei Portkathetern sind leider keine Seltenheit, auch wenn ein großer Teil der Portsysteme problemlos funktioniert.
Probleme bei der Portanlage
Es können schon bei der operativen Anlage des Ports Schwierigkeiten bestehen, wenn z. B. eine Thrombose der V. subclavia nicht bekannt war. Auch andere verschlossene oder atypisch angelegte Venen (auch Varianten der Vena cava superior) können die korrekte Positionierung des Portkatheterschlauches verhindern. Daher lohnt sich vor jeder Portanlage ein Blick auf (zumindest bei onkologischen Patienten) meist vorhandene computertomographische oder andere Bilder, die den Status der Zugangsvenen zeigen. Bei fehlenden Bildern und klinischem Verdacht auf ein venöses Problem im geplanten Zugangsweg kann eine Phlebographie vom Arm der jeweiligen Seite Klarheit bringen, ob Schwierigkeiten zu erwarten sind oder eine Anlage von dieser Seite gar nicht möglich ist.
Probleme unmittelbar nach der Portanlage
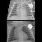
Wenn die Portkammer im subkutanen Fett ungünstig positioniert und nicht fixiert wird, kann es dazu kommen, dass sich die Kammer um 180° dreht und der Kammerboden zur Haut zeigt. Dann lässt sich die Kammer nicht anstechen und meist auch nicht ohne eine operative Revision stabil zurückdrehen. Auch eine zu tiefe Positionierung der Kammer im subkutanen Fett (insbesondere bei adipösen Patienten mit einer dicken Schicht davon) kann das Anstechen sehr erschweren bis unmöglich machen. Zwar gibt es Portnadeln mit unterschiedlicher Länge und ggf. kann das Anstechen unter Druchleuchtung funktionieren, aber die palpierende Kontrolle ist unsicherer und falsch liegende Portnadeln kommen häufiger vor.
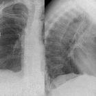
Bisweilen sieht man auch primäre Fehllagen eines frisch gelegten Portkatheters.
Spätere Probleme
Sekundäre Fehllagen
Nicht alle Portkatheter sind in der primär operativ erreichten Position stabil. Eine Dislokation des Portkatheters kann bei kurz angelegtem Katheter, der nur wenig nach kaudal in die V. cava superior zeigt, nach kranial in die V. jugularis vorkommen. Auch in andere Richtungen bzw. Venen (z. B. V. brachiocephalica sinistra) kann ein Katheter umschlagen. Solche Fehllagen können ggf. perkutan korrigiert werden. Wenn jedoch ein Katheter primär in der V. cava superior zu kurz ist, kann es (z. B. beim Husten) häufig zu Rezidiv-Fehllagen kommen.
Eine spezielle Situation ist die Auswanderung der Portspitze durch Drehung der Portkammer mit sukzessivem Aufwickeln und Rückzug des Katheters aus dem Gefäß, das so genannte Twiddler-Syndrom. Dieses ist auch für entsprechende Dislokationen der Sonden von Herzschrittmachern oder anderen implantierbaren Stimulatoren durch Drehen des Aggregats bekannt.
Diskonnektion / Abriss / Leckage
Die Diskonnektion des Katheters von der Portkammer ist eher selten, vor allem wenn die Konnektionsmuffe, mit der die Verbindung des Katheters mit der Kammer gesichert wird, ordnungsgemäß aufgeschoben wurde.
Ein abgerissener Portkatheter oder eine Leckage kommen meist als späte Komplikation bei sehr lange liegendem Portsystem vor. Hier spielen ursächlich Materialalterung oder repetitive mechanische Mikroschädigung (z. B. bei bestimmten Sportarten mit mechanischer Beanspruchung des Portschlauches bei Überkopfhaltung des Armes) eine Rolle.
Diese Komplikationen verbieten in jedem Fall eine weitere Benutzung des Portsystems für eine Infusion, da es zum unkontrollierten Austritt der Infusion (oft Chemotherapeutikum) ins Gewebe kommt. Abgerissene Katheter oder Katheterteile lassen sich oft perkutan über einen inguinalen Zugang bergen. Die Portkammer wird chirurgisch entfernt.
Portkatheter-assoziierte Thrombosen
Portkatheter-assoziierte Thrombosen kommen im Wesenlichen als Thrombose der V. subclavia und in der V. cava superior um die Portspitze als so genannte Portspitzenthrombose vor.
Während die Thrombose der V. subclavia nicht lokal über den Port selbst angehbar ist, kann eine Portspitzenthrombose mit einer lokalen rt-PA-Lyse über den Port behandelt werden. Die Erfolgsrate ist dabei stark vom Alter der Thrombose abhängig.
Siehe auch:
- Fehllage ZVK
- Portkatheter-assoziierte Thrombosen
- Portkatheter Komplikationen
- Dislokation Portkatheter
- Portkatheter
- Leckage Portkatheter
- perkutane Lagekorrektur Portkatheter
- Portkatheter oder ZVK in Vena brachiocephalica sinistra
- Diskonnektion Portkatheter
und weiter:

Assoziationen und Differentialdiagnosen zu Fehllage Portkatheter: