Phthisis bulbi
nicht verwechseln mit: PhthisisPhthisis bulbi, also known as end-stage eye, is an atrophic scarred and disorganized globe that may result from a variety of severe ocular insults.
Epidemiology
In general, phthisis bulbi involves elderly patients, usually 65-85 years of age . Children and adolescents are only rarely affected, mainly due to ocular trauma and congenital malformations .
Clinical presentation
Typical clinical symptoms and signs include chronic ocular hypotension, a shrunken globe, pseudoenophthalmos, intraocular tissue fibrosis and scarring, visual loss, recurrent episodes of intraocular irritation, and pain, and swelling in and around the eye .
Pathology
The globe is reduced in size (usually <20 mm) with a thickened/folded posterior sclera. Dystrophic calcification is common, and osseous metaplasia sometimes occurs, forming what is called "intraocular bone".
Etiology
Causes of this end-stage damage include:
- trauma (causes ciliochoroidal effusion and cyclitic membrane)
- infection
- other inflammatory processes
- radiation
- chronic retinal detachment
- persistent hyperplastic primary vitreous
- retinoblastoma
Radiographic features
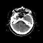
CT
- small and shrunken globe with foci of calcium deposits and ossification in the sclera, cornea, lens, retina, and optic nerve
- distortion of globe components with challenging to separate and identify structures
- fibrotic scarring with irregular globe contour and diffusely increased attenuation
MRI
General features :
- small shrunken, deformed, calcified globe with enophthalmos
- abnormal intraocular contents deranged
Signal characteristics :
- T1: often with heterogeneous areas of increased signal, depending on the degree of calcification and hemorrhage
- T2: mixed vitreous dark filling defects due to coarse calcifications
- FLAIR: usually with increased signal
Treatment and prognosis
The globe is non-functioning, thus the patient is blind in that eye. Enucleation +/- prosthesis insertion is performed if there is associated chronic pain or for cosmetic reasons.
Differential diagnosis
The differential includes other causes of calcification of the globe.
See also
Siehe auch:
- Bulbus-oculi-Verkalkungen
- Retinoblastom
- Verkalkungen Auge
- persistierender hyperplastischer primärer Glaskörper (PHPV)
- Pathologien des Auges
und weiter:

Assoziationen und Differentialdiagnosen zu Phthisis bulbi oculi: