Leukokorie
Leukocoria
• Drusen of the optic nerve head - Ganzer Fall bei Radiopaedia
Leukocoria
• Retinopathy of prematurity - Ganzer Fall bei Radiopaedia
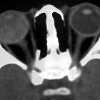
Retinoblastoma
• Retinoblastoma - leukocoria (photo) - Ganzer Fall bei Radiopaedia
Persistent
hyperplastic primary vitreous • Persistent hyperplastic primary vitreous (PHPV) - Ganzer Fall bei Radiopaedia
Leukocoria (also spelled as leucocoria or leukokoria) refers to an abnormal white reflection from the retina of the eye. Despite its color, the reflection is related to the familiar red-eye effect. Usually, when a light is shone through the iris, the retina appears red to the observer. In leukocoria, the retina abnormally appears white.
Pathology
Etiology
The top 4 causes of leukocoria are:
As with anything, causes can be considered using a surgical sieve approach.
Tumors
- retinoblastoma
- retinal astrocytic hamartoma
- medulloepithelioma
Developmental
- persistent hyperplastic primary vitreous
- Coats disease
- retrolental fibroplasia
- coloboma of choroid or optic disc
- neurocutaneous syndromes
- tuberous sclerosis (TS) (angiomata)
- von Hippel Lindau syndrome (vHL) (choroidal ostema)
Infection
- larval granulomatosis
- uveitis
- toxocara canis (toxocariasis)
Degenerative
- posterior cataract
- senesent calcification
- optic nerve drusen
- phthisis bulbi
Trauma
- retinopathy of prematurity
- organized vitreous hemorrhage
- long-standing retinal detachment
Associations
Leukocoria can be seen in the normal-sized eye or associated with microphthalmia.
- normal sized eye
- calcified, e.g. retinoblastoma; retinal astrocytoma
- non-calcified, e.g. toxocaral endophthalmitis, Coats disease
- microphthalmia
- unilateral, e.g. persistent hyperplastic primary vitreous (PHPV)
- bilateral, e.g. retinopathy of prematurity, bilateral PHPV
Siehe auch:

Assoziationen und Differentialdiagnosen zu Leukokorie:persistierender
hyperplastischer primärer Glaskörper (PHPV)
