coloboma
nicht verwechseln mit: StaphylomColoboma is a collective term encompassing any focal discontinuity in the structure of the eye, and should not be confused with staphylomas, which are due to choroidal thinning.
Pathology
Embryologically, colobomas are due to the failure of closure of the choroidal fissure. The most common site of ocular coloboma is the anterior segment involving the iris, less commonly in the posterior segment involving the optic disc, choroid, or retina . Coloboma can also involve the eyelids, lens, and optic nerve.
Typically colobomas are bilateral, small and are not accompanied by other deeper abnormalities.
Associations
- CHARGE syndrome
- encephalocele
- agenesis of the corpus callosum
- Jacobsen syndrome
- Treacher-Collins syndrome: rare
- Roberts syndrome: rare
- Gorlin-Goltz syndrome: rare
- trisomy 13
- trisomy 18
- Potter’s syndrome
- VATER association
- Joubert syndrome
- Warburg syndrome
- congenital heart disease
- polydactyly
- holoprosencephaly
- renal-coloboma syndrome
- Aicardi syndrome
- Baraitser–Winter syndrome
Variants
- morning glory syndrome: optic nerve head coloboma with associated midline structural abnormalities of the brain and skull
- coloboma with a cyst (microphthalmia with cyst): results from the proliferation of the embryonic retina with potential extrusion of the vitreous posteriorly into the cyst (thus microphthalmia). The cyst may become discontinuous from the eye, be larger than the eye, and may cause proptosis
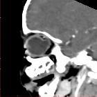
Radiographic features
In posterior ocular coloboma, on CT or MRI, the affected globe is usually small with a focal posterior defect in the globe with vitreous herniation . A retrobulbar fluid-density cyst may be present .
Siehe auch:
- Gorlin-Goltz-Syndrom
- Staphylom
- Roberts-Syndrom
- CHARGE-Syndrom
- Meningoenzephalozele
- Franceschetti-Zwahlen-Syndrom
- Potter-Sequenz
- Jacobsen syndrome
- Dysgenesie des Corpus callosum
- morning glory disc anomaly
- Renales-Kolobom-Syndrom
und weiter:

Assoziationen und Differentialdiagnosen zu Kolobom: