semi-lobar holoprosencephaly
Semilobar holoprosencephaly is a subtype of holoprosencephaly characterized by incomplete forebrain division. It is intermediate in severity, being worse than lobar holoprosencephaly and better than alobar holoprosencephaly.
Epidemiology
Please refer to the general article of holoprosencephaly.
Clinical presentation
In contrast to alobar holoprosencephaly, facial malformations are usually mild or absent .
Pathology
As with all types of holoprosencephaly, it is a rare congenital brain malformation in which there is failure of complete separation of the two hemispheres and failure of transverse cleavage into diencephalon and telencephalon.
For a general discussion of epidemiology, clinical presentation and pathology, please refer to the article on holoprosencephaly.
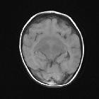
Radiographic features
As will most cerebral structural congenital abnormalities, semilobar holoprosencephaly is visible on all modalities, but in general is identified on antenatal ultrasound, and best characterized by MRI.
The basic structure of the cerebral lobes are present, but are fused most commonly anteriorly and at the thalami and there is partial diverticulation of brain (dorsal cyst). Features include :
- absence of septum pellucidum
- monoventricle with partially developed occipital and temporal horns
- rudimentary falx cerebri: absent anteriorly
- incompletely formed interhemispheric fissure
- partial or complete fusion of the thalami
- absent olfactory tracts and bulbs
- agenesis or hypoplasia of the corpus callosum
- incomplete hippocampal formation
An easier approach might be to assess fusion of more than 50% of the frontal lobes which might be suggestive of semilobar holoprosencephaly .
In addition, this condition is associated with a mild degree of facial abnormalities such as hypotelorism and cleft lip.
Differential diagnosis
General imaging differential considerations include:
Siehe auch:
- Arachnoidalzyste
- Holoprosencephalie
- Kolpozephalie
- alobäre Holoprosencephalie
- lobäre Holoprosencephalie
- Porenzephalie
und weiter:

Assoziationen und Differentialdiagnosen zu semilobar holoprosencephaly: