Ellenbogenluxation
Elbow dislocation is the second most common large joint dislocation in adults and the most common in children.
Epidemiology
Elbow dislocations are common and account for 10-25% of all elbow injuries in the adult population . They are the most common dislocation in children .
Associations
If an elbow dislocation is associated with a fracture (fracture-dislocation), it is called "complex." An isolated dislocation without fracture is "simple."
The most common associated fracture in adults is a radial head fracture, although coronoid process fracture is also common. When all of these occur together in a severe posterior dislocation, it is known as the terrible triad of the elbow .
The most common associated fracture in children is a medial epicondyle fracture .
Pathology
Mechanism
Most elbow dislocations are closed and are most frequently posterior (sometimes posterolateral or posteromedial) although anterior, medial, lateral and divergent dislocations are also infrequently encountered). Posterior dislocations typically occur following a fall onto an extended arm, either with hyperextension or a posterolateral rotatory mechanism .
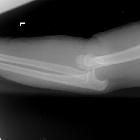
Radiographic features
In most cases, plain films suffice for assessment of elbow dislocations, although CT is increasingly used to pre-operatively assess intra-articular fractures.
Plain radiograph
The dislocation is usually obvious, especially if adequate AP and lateral views are obtained, however, the challenge is in identifying associated fractures.
Although rarely required in practice, a line drawn along the anterior margin of the humerus (anterior humeral line) and one along the long axis of the radius should intersect near the center of the capitellum .
Report checklist
In addition to reporting the presence of a dislocation, a number of features should be sought and commented upon.
- dislocation direction
- posterior, posterolateral, posteromedial, lateral, medial or divergent
- associated fractures
- most frequently the radial head and coronoid process
- other fractures encountered include medial epicondyle (in children), lateral condyle, capitellum, olecranon
- wrist and shoulder may need to be imaged if there is clinical concern
Treatment and prognosis
When elbow dislocation is simple (i.e. no associated fracture) then closed reduction and a brief period (e.g. <2 weeks) of immobilization at 90 degrees of flexion usually suffices .
Complex fracture-dislocations of the elbow require operative management, consisting reduction of the dislocation, management of the fracture and repair of surrounding damaged soft tissues (ORIF). They are far more likely to have a poor outcome, including secondary osteoarthritis, limited range of motion, instability (~40%) and recurrent dislocation as well as pain .
Occasionally injury to the brachial artery may be seen (this is more common in open fracture-dislocations) .
Siehe auch:
- Radiusköpfchenfraktur
- Luxationen der oberen Extremität
- Osborne-Cotterill-Läsion
- Bandverletzungen am Ellenbogen
- Luxation
- Fraktur Processus coronoideus ulnae
- terrible triad of the elbow
- large joint dislocation
- Ellenbogeninstabilität
- angeborene Ellenbogenluxation
- kindliche Ellenbogenluxation
und weiter:

Assoziationen und Differentialdiagnosen zu Ellenbogenluxation: