Brodie abscess
Brodie abscess is an intraosseous abscess related to a focus of subacute or chronic pyogenic osteomyelitis. Unfortunately, there is no reliable way to radiographically exclude a focus of osteomyelitis. It has a protean radiographic appearance and can occur at any location and in a patient of any age. It might or might not be expansile, have a sclerotic or nonsclerotic border, or have associated periostitis.
Epidemiology
Typically these present in children with unfused epiphyseal plates, more frequently in boys.
Pathology
Etiology
- S. aureus (most common); cultures often negative
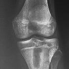
Location
It has a predilection for ends (metaphysis) of tubular bones:
- proximal/distal tibial metaphysis (most common)
- femur
- carpal and tarsal bones
Rarely traversing the open growth plate; epiphysis (in children and infants).
Markers
- inflammatory markers (e.g. CRP, ESR) are often normal
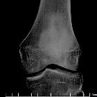
Radiographic features
Plain radiograph
- lytic lesion often in an oval configuration that is oriented along the long axis of the bone
- surrounded by a thick dense rim of reactive sclerosis that fades imperceptibly into surrounding bone
- lucent tortuous channel extending toward growth plate prior to physeal closure (pathognomonic)
- periosteal new-bone formation +/- adjacent soft-tissue swelling
- may persist for many months
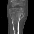
CT
- central intramedullary hypodense cystic lesion with thick rim ossification
- extensive thick well-circumscribed periosteal reaction and bone sclerosis around the lesion could be seen
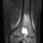
MRI
The “penumbra sign” on magnetic resonance (MR) imaging is useful for discriminating subacute osteomyelitis from other bone lesions. The penumbra sign is a rim lining of an abscess cavity with higher signal intensity than that of the main abscess on T1-weighted images with strongly and rapidly enhance after contrast.
Differential diagnosis
- osteoid osteoma :
- often cortical in location
- nocturnal pain relieved by aspirin
- eosinophilic granuloma
- sarcoma :
- more aggressive
- associated soft tissue mass
- skeletal metastasis
History and etymology
The lesion is named after Sir Benjamin Collins Brodie (1783-1862), who initially described a chronic inflammatory process affecting the tibia without acute precipitating factors in the 1830s.
Siehe auch:
und weiter:
- Chondroblastom
- radiologisches muskuloskelettales Curriculum
- Knochenzyste
- bony sequestrum (mnemonic)
- ankle radiograph checklist
- solitary sclerotic bone lesion with a lucent centre
- lytic bone lesion surrounded by marked sclerosis (mnemonic)
- Knochenläsionen mit Sequester
- Osteoidosteom der Wirbelsäule
- Brodieabszess Sprunggelenk
- osteolytic process of the distal tibia in childhood

Assoziationen und Differentialdiagnosen zu Brodie-Abszess: